Pathopic
HiPaKu
ZyPaKu
PathoBasic
PathoBasic Cytology
Quizzes
Projektinfos
PathoPic - Projekt- und Copyright-Info
About
Pathopic
HiPaKu
ZyPaKu
PathoBasic
PathoBasic Cytology
Quizzes
PathoPic – image database
/
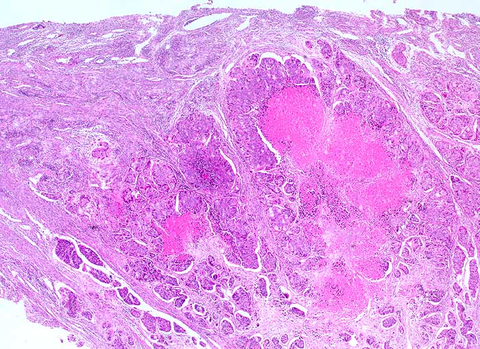
PathoPic ID 6397 - Kolonkarzinom: Metastase
de
Diagnose
Kolonkarzinom: Metastase
Diagnose Gruppe
maligner Tumor
Topographie
Portio
Topographie Gruppe
Genitalorgane, weiblich
Beschreibung
Infiltrate eines soliden Adenokarzinoms mit ausgedehnten komedoartigen Nekrosen gut passend zu Metastasen eines Kolonkarzinoms. Gefässeinbrüche.
Klinik
Kolonkarzinom. Postmenopausale Blutung.
Bilder Typ
Histologie
Vergrösserung
25
Alter
73
Geschlecht
unbekannt
Datum
Ersteintrag: 11.02.2003
Update: 10.08.2010
CPS
·
©
2024 Institut für Pathologie Basel
/
Dr. med. Katharina Glatz-Krieger
.
·
v2.1