PathoPic – image database / PathoPic ID 6395 - Endometroides Adenokarzinom

de
Diagnose
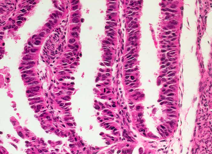
Endometroides Adenokarzinom
Diagnose Gruppe
maligner Tumor
Topographie
Endometrium
Topographie Gruppe
Genitalorgane, weiblich
Beschreibung
Von endometriumähnlichem atypischem Epithel ausgekleidete Drüsenschläuche mit schlankem fibrovaskulärem Stromastiel.
Klinik
Adenokarzinom des Endometriums.
Bilder Typ
Histologie
Vergrösserung
200
Alter
56
Geschlecht
unbekannt
Datum
Ersteintrag: 11.02.2003
Update: 10.08.2010