PathoPic – image database / PathoPic ID 6394 - diffuses grosszelliges B-Zelllymphom

de
Diagnose
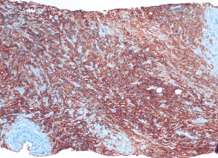
diffuses grosszelliges B-Zelllymphom
Diagnose Gruppe
maligner Tumor
Topographie
Nierenbecken
Topographie Gruppe
Niere, Harnwege
Beschreibung
Nierenhilusweichteile: die Tumorzellen reagieren membranär positiv mit dem B-Zell Marker CD20.
Klinik
Nieren-Tumor rechts. DD: Urothel-Ca.
Bilder Typ
Histologie
Immunhistochemie
CD20 (L26)
Vergrösserung
100
Alter
66
Geschlecht
unbekannt
Datum
Ersteintrag: 11.02.2003
Update: 28.03.2003