PathoPic – image database / PathoPic ID 6391 - Adenocarcinoma in situ, AIS

de
Diagnose
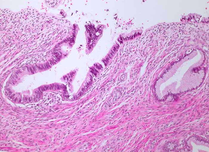
Adenocarcinoma in situ, AIS
Diagnose Gruppe
Präneoplasie/ Atypie/ Dignität?
Topographie
Zervix
Topographie Gruppe
Genitalorgane, weiblich
Beschreibung
Links im Bild von atypischem mehrreihigem Epithel ausgekleidete Zervixdrüse. Die Kerne überlagern sich teilweise, sind vergrössert und hyperchromatisch. Zum Vergleich rechts im Bild eine normale Zervixdrüse mit hellerem Epithel und basalständigen Kernen.
Klinik
Langzeitbehandlung mit Provera.
Bilder Typ
Histologie
Vergrösserung
100
Alter
29
Geschlecht
unbekannt
Datum
Ersteintrag: 11.02.2003
Update: 30.07.2010