PathoPic – image database / PathoPic ID 6390 - Adenocarcinoma in situ, AIS

de
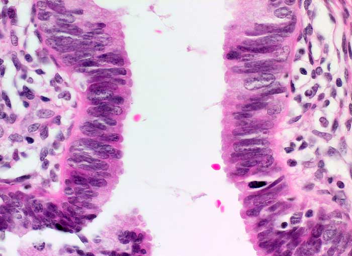
Diagnose
Adenocarcinoma in situ, AIS
Diagnose Gruppe
Präneoplasie/ Atypie/ Dignität?
Topographie
Zervix
Topographie Gruppe
Genitalorgane, weiblich
Beschreibung
Von atypischem mehrreihigen Epithel ausgekleidete Zervixdrüsen. Die Kerne überlagern sich teilweise, sind vergrössert und hyperchromatisch.
Klinik
Langzeitbehandlung mit Provera.
Bilder Typ
Histologie
Vergrösserung
400
Alter
29
Geschlecht
unbekannt
Datum
Ersteintrag: 11.02.2003
Update: 30.07.2010