PathoPic – image database / PathoPic ID 6389 - normales proliferierendes Endometrium

de
Diagnose
normales proliferierendes Endometrium
Diagnose Gruppe
Normalbefund
Topographie
Endometrium
Topographie Gruppe
Genitalorgane, weiblich
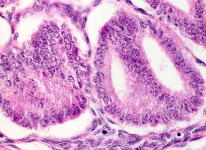
Beschreibung
In diesem Bildausschnitt zeigen die Endometriumdrüsen Zeichen der Proliferation mit teils mehrreihig gelagerten grossen abgerundeten vesikulären Kernen.
Zusatzbefund
An anderer Stelle zeigt das Endoemtrium Sekretionszeichen.
Klinik
Prämenopausale Patientin mit anämisierenden Blutungen bei Uterus myomatosus. Hypermenorrhoe. Endometrium sonographisch auch nach Abbruchblutung hoch aufgebaut.
Kommentar
Normales Endometriumepithel in Zyklusmitte kann aufgrund ausgeprägter Proliferationszeichen mit Hyperplasien und hoch differenzierten Endometriumkarzinomen verwechselt werden. Deshalb keine Endometriumdiagnostik ohne Regelanamnese.
Bilder Typ
Histologie
Vergrösserung
400
Alter
41
Geschlecht
unbekannt
Datum
Ersteintrag: 11.02.2003
Update: 10.08.2010