PathoPic – image database / PathoPic ID 6385 - gering verhornendes Plattenepithelkarzinom

de
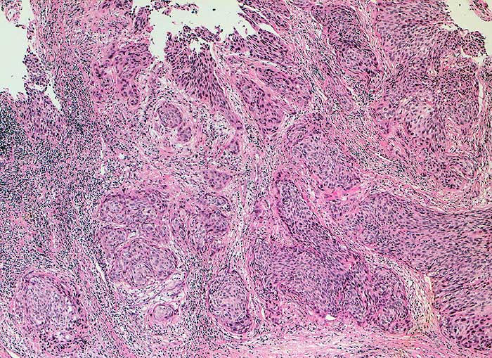
Grad
Diagnose
gering verhornendes Plattenepithelkarzinom
Diagnose Gruppe
maligner Tumor
Topographie
Portio
Topographie Gruppe
Genitalorgane, weiblich
Beschreibung
Solide zapfenförmige Tumorinfiltrate im Stroma. Keine Verhornung.
Klinik
Dauerblutung seit 2 Wochen, deutlich gefässinjizierte Ektopie, sofortige Kontaktblutung.
Bilder Typ
Histologie
Vergrösserung
25
Alter
83
Geschlecht
unbekannt
Datum
Ersteintrag: 11.02.2003
Update: 10.08.2010