PathoPic – image database / PathoPic ID 6375 - Kleinzelliges Karzinom

de
Diagnose
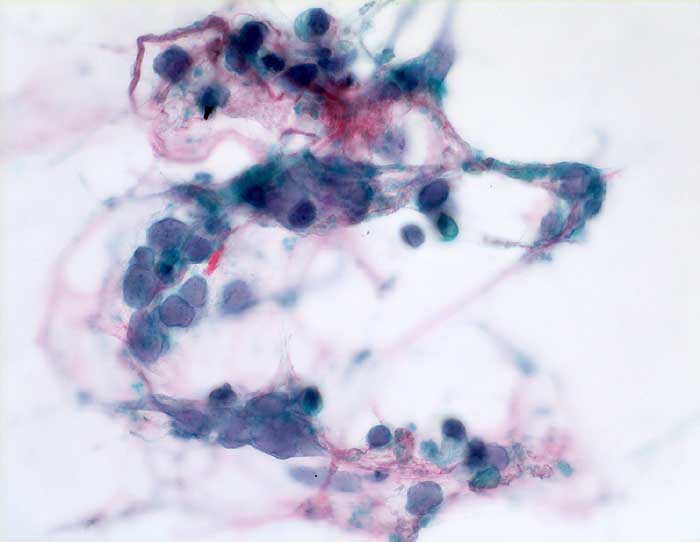
Kleinzelliges Karzinom
Diagnose Gruppe
Präneoplasie/ Atypie/ Dignität?
Topographie
Bronchialbürste, Zytologie
Topographie Gruppe
Lunge, Mediastinum mit Thymus
Beschreibung
Bronchialbürste: Schlecht erhaltene nacktkernige Tumorzellen mit hyperchromatischen Kernen bilden kleine Verbände.
Klinik
Totale Stenose des rechten Hauptbronchus mit Kompression der Vena Cava superior. Kleinzelliges Karzinom? Lymphom?
Bilder Typ
Zytologie
Vergrösserung
630
Alter
68
Geschlecht
unbekannt
Datum
Ersteintrag: 10.02.2003
Update: 02.04.2003