PathoPic – image database / PathoPic ID 6344 - Kleinzelliges Karzinom

de
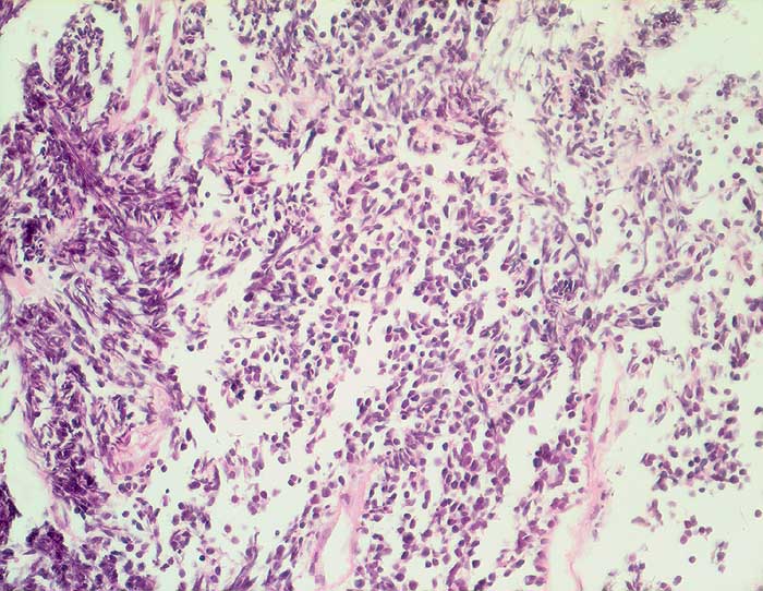
Diagnose
Kleinzelliges Karzinom
Diagnose Gruppe
maligner Tumor
Topographie
Bronchus
Topographie Gruppe
Lunge, Mediastinum mit Thymus
Beschreibung
Rasen kleiner nacktkerniger Tumorzellen mit ausgeprägten Quetschartefakten aufgrund fragiler Kerne.
Klinik
Tumor im Lungenmittellappen
Bilder Typ
Histologie
Vergrösserung
400
Alter
69
Geschlecht
männlich
Datum
Ersteintrag: 03.02.2003
Update: 28.03.2003