Pathopic
HiPaKu
ZyPaKu
PathoBasic
PathoBasic Cytology
Quizzes
Projektinfos
PathoPic - Projekt- und Copyright-Info
About
Pathopic
HiPaKu
ZyPaKu
PathoBasic
PathoBasic Cytology
Quizzes
PathoPic – image database
/
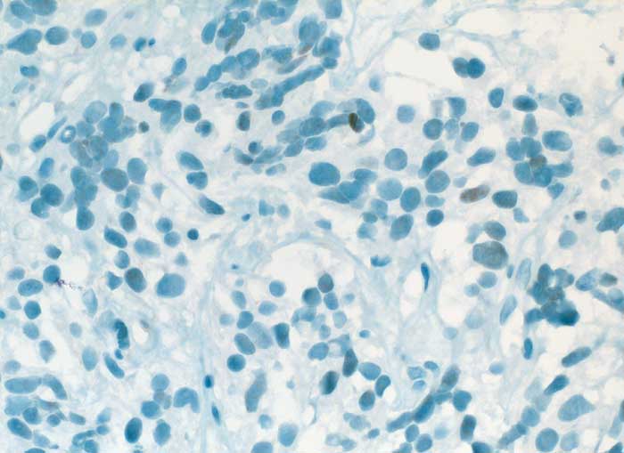
PathoPic ID 6340 - Karzinoid
de
Diagnose
Karzinoid
Diagnose Gruppe
benigner Tumor
Topographie
Lunge
Topographie Gruppe
Lunge, Mediastinum mit Thymus
Beschreibung
Die spindeligen Tumorzellkerne sind fokal schwach positiv für TTF1
Klinik
V. a. Tumor pulmonal
Bilder Typ
Histologie
Immunhistochemie
TTF-1
Vergrösserung
400
Alter
58
Geschlecht
männlich
Datum
Ersteintrag: 31.01.2003
Update: 28.03.2003
CPS
·
©
2024 Institut für Pathologie Basel
/
Dr. med. Katharina Glatz-Krieger
.
·
v2.1