PathoPic – image database / PathoPic ID 6337 - Karzinoid

de
Diagnose
Karzinoid
Diagnose Gruppe
benigner Tumor
Topographie
Lunge
Topographie Gruppe
Lunge, Mediastinum mit Thymus
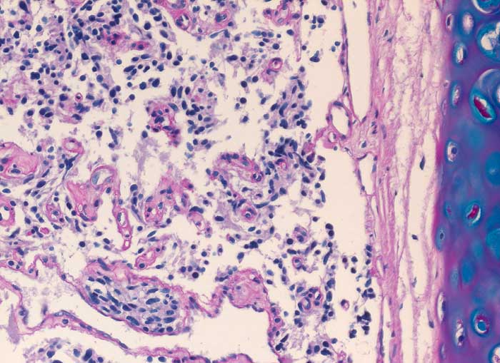
Beschreibung
Spindelzellige Tumorzellnester bilden kleine von schmalen Bindegewebssepten mit Kapillaren umgebene Zellnester. Der Tumor infiltriert die Submukosa.
Klinik
V. a. Tumor pulmonal
Kommentar
Da es sich nur um eine sehr kleine Biopsie handelt, kann ein atypisches Karzinoid (Nekrosen, Mitosen) nicht ausgeschlossen werden.
Bilder Typ
Histologie
Vergrösserung
200
Alter
58
Geschlecht
männlich
Datum
Ersteintrag: 31.01.2003
Update: 28.03.2003