PathoPic – image database / PathoPic ID 6288 - Adenosarkom

de
Diagnose
Adenosarkom
Diagnose Gruppe
maligner Tumor
Topographie
Uterus
Topographie Gruppe
Genitalorgane, weiblich
Beschreibung
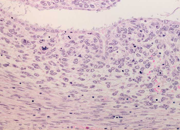
In diesem Bildausschnitt ist eine von gutartigem Epithel ausgekleidete Zyste erkennbar. Das angrenzende Stroma ist verdichtet (Kambiumschicht), weist ausgeprägte Atypien und mehrere, teils atypische Mitosen auf.
Klinik
Postmenopausale Blutungsstörung, sonographisch suspekter Endometriumbefund, klinisch V.a. Endometriumkarzinom.
Bilder Typ
Histologie
Vergrösserung
200
Alter
84
Geschlecht
unbekannt
Datum
Ersteintrag: 31.01.2003
Update: 10.08.2010