PathoPic – image database / PathoPic ID 6285 - Adenosarkom

de
Diagnose
Adenosarkom
Diagnose Gruppe
maligner Tumor
Topographie
Uterus
Topographie Gruppe
Genitalorgane, weiblich
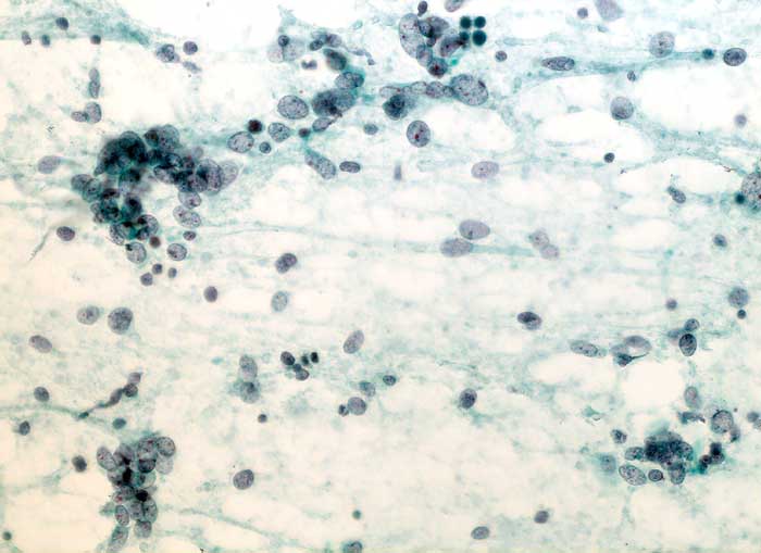
Beschreibung
Uterus, Frischgewebsausstriche: Zahlreiche vielfach nacktkernige Zellen eines teils spindelzelligen malignen Tumors. Die Spindelzellen sind sehr unterschiedlich gross. Die Kerne sind längsoval, hyperchromatisch und weisen einen oder mehrere Nukleolen auf. Die Zellen liegen einzeln oder zu kleinen Gruppen zusammengeballt. Detritischer Hintergrund.
Klinik
Postmenopausale Blutungsstörung, sonographisch suspekter Endometriumbefund, klinisch V.a. Endometriumkarzinom.
Kommentar
Zytologische Diagnose: Zahlreiche Zellen eines teils spindelzelligen malignen Tumors.
Der spindelzellige, teils deutlich sarkomatoide Aspekt spricht am ehesten für einen malignen Mischtumor.
Bilder Typ
Zytologie
Vergrösserung
200
Alter
84
Geschlecht
unbekannt
Datum
Ersteintrag: 31.01.2003
Update: 10.08.2010