Pathopic
HiPaKu
ZyPaKu
PathoBasic
PathoBasic Cytology
Quizzes
Projektinfos
PathoPic - Projekt- und Copyright-Info
About
Pathopic
HiPaKu
ZyPaKu
PathoBasic
PathoBasic Cytology
Quizzes
PathoPic – image database
/
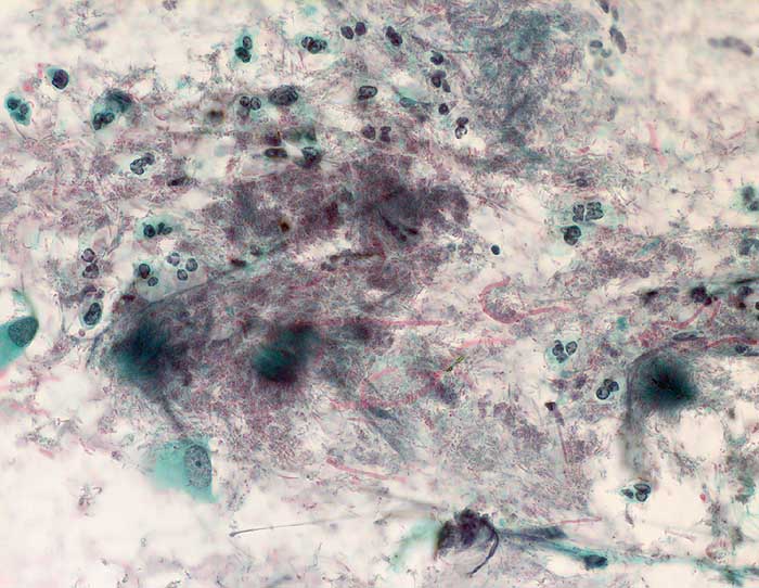
PathoPic ID 6229 - Soorinfekt und Aktinomycose bei IUD
de
Diagnose
Soorinfekt und Aktinomycose bei IUD
Diagnose Gruppe
Entzündung infektiös
Topographie
Portio
Topographie Gruppe
Genitalorgane, weiblich
Beschreibung
Portioabstrich:
Aktinomycesdrusen. Im Hintergrund
Soorpseudohyphen und Granulozyten.
Klinik
IUD seit 20 Jahren
Bilder Typ
Zytologie
Vergrösserung
400
Alter
57
Geschlecht
unbekannt
Datum
Ersteintrag: 28.01.2003
Update: 10.08.2010
CPS
·
©
2024 Institut für Pathologie Basel
/
Dr. med. Katharina Glatz-Krieger
.
·
v2.1