PathoPic – image database / PathoPic ID 6227 - Herpesinfektion

de
Diagnose
Herpesinfektion
Diagnose Gruppe
Entzündung infektiös
Topographie
Portio
Topographie Gruppe
Genitalorgane, weiblich
Beschreibung
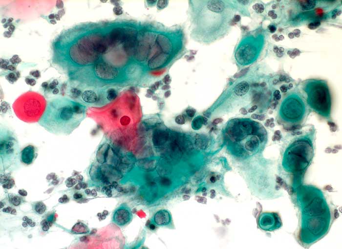
Portioabstrich: mehrkernige Riesenzellen mit Milchglaskernen. Im Hintergrund neutrophile Granulozyten.
Zusatzbefund
HPV Typ low grade (6/11/42/43/44) negativ.
HPV Typ high grade (16/18/31/33/35/39/45/51/52/56/58/59/68) positiv.
Klinik
Auswärts positiver Abstrich mit mässiger bis schwerer Dysplasie.
Bilder Typ
Zytologie
Vergrösserung
400
Alter
32
Geschlecht
unbekannt
Datum
Ersteintrag: 28.01.2003
Update: 10.08.2010