PathoPic – image database / PathoPic ID 6222 - Nicht klassifizierbare Zylinderepithelien

de
Diagnose
Nicht klassifizierbare Zylinderepithelien
Diagnose Gruppe
Präneoplasie/ Atypie/ Dignität?
Topographie
Portio
Topographie Gruppe
Genitalorgane, weiblich
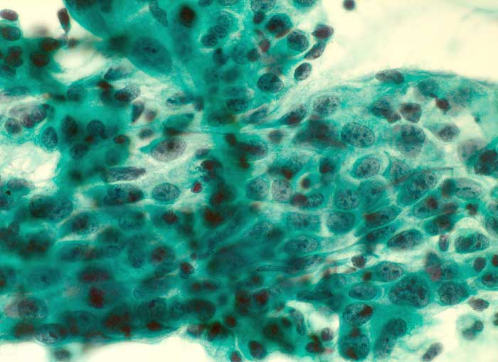
Beschreibung
Portioabstrich: Polygonale und zylindrische Zellen mit vergrösserten vesikulären Kernen, granulärem Chromatin, Nukleolen und breitem Zytoplasma.
Klinik
14. Schwangerschaftswoche, Vorsorgeuntersuchung.
Kommentar
Zytologische Diagnose: Regenerationsepithel, Endometriumverbände und deziduale Zellen. Keine Malignitätszeichen. Befund vereinbar mit Schwangerschaft.
Bilder Typ
Zytologie
Vergrösserung
400
Alter
29
Geschlecht
unbekannt
Datum
Ersteintrag: 28.01.2003
Update: 10.08.2010