PathoPic – image database / PathoPic ID 6215 - Nicht klassifizierbare Zylinderepithelien

de
Diagnose
Nicht klassifizierbare Zylinderepithelien
Diagnose Gruppe
Präneoplasie/ Atypie/ Dignität?
Topographie
Portio
Topographie Gruppe
Genitalorgane, weiblich
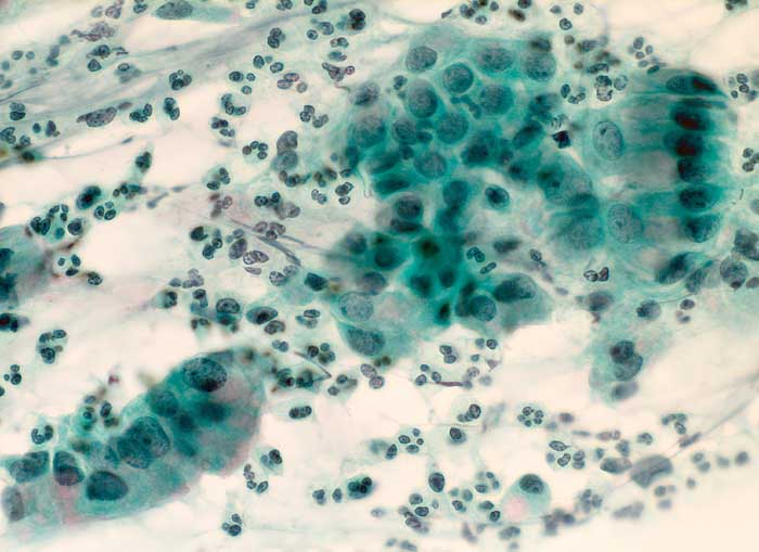
Beschreibung
Portioabstrich: Regelmässige Verbände aus Zylinderzellen. Kerne vesikulär, vergrössert, das Chromatin fein granulär. Nukleolen vergrössert. Zytoplasma mittelbreit, uncharakteristisch. Keine schweren Atypien. Mässig viele Granulozyten.
Zusatzbefund
Histologische Diagnose: Äusserer Muttermund: Fibroglandulärer Zervixschleimhautpolyp mit oberflächlicher, erosiver Entzündung. Cavum: Fibroglandulärer Korpusschleimhautpolyp mit einfacher Hyperplasie und fokal komplexer Hyperplasie.
Klinik
Postmenopausale Blutung. Sonographisch suspektes Endometrium.
Kommentar
Zytologische Diagnose: Zahlreiche Zylinderepithelien mit Atypien. Atypische Hyperplasie oder Karzinom nicht sicher ausgeschlossen.
Bilder Typ
Zytologie
Vergrösserung
400
Alter
72
Geschlecht
unbekannt
Datum
Ersteintrag: 28.01.2003
Update: 10.08.2010