PathoPic – image database / PathoPic ID 6209 - schwere Dysplasie CIN III

de
Diagnose
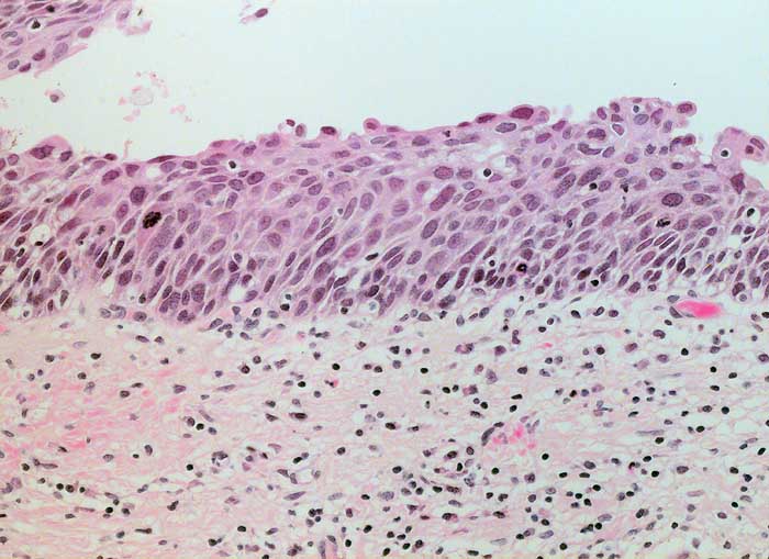
schwere Dysplasie CIN III
Diagnose Gruppe
Präneoplasie/ Atypie/ Dignität?
Topographie
Portio
Topographie Gruppe
Genitalorgane, weiblich
Beschreibung
Portiokonisat: Auf der gesamten Epithelbreite atypisches Epithel ohne Ausreifung.
Klinik
Weitere zytologische Kontrollen unverdächtig.
Bilder Typ
Histologie
Vergrösserung
200
Alter
60
Geschlecht
unbekannt
Datum
Ersteintrag: 28.01.2003
Update: 10.08.2010