PathoPic – image database / PathoPic ID 6208 - verhornende schwere Dysplasie HSIL

de
Diagnose
verhornende schwere Dysplasie HSIL
Diagnose Gruppe
Präneoplasie/ Atypie/ Dignität?
Topographie
Portio
Topographie Gruppe
Genitalorgane, weiblich
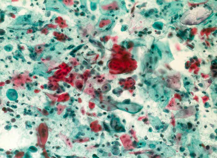
Beschreibung
Portioabstrich: Vor einem teilweise detritischen Hintergrund finden sich über das ganze Präparat verteilt zahlreiche teils hochgradig atypische Plattenepithelien mit unterschiedlich grossen, teils polymorphen, hyperchromatischen Kernen. Nebst nicht verhornten atypischen Plattenepithelien mit schmalem uncharakteristisch zyanophilem Zytoplasmaleib und hoher Kernplasmarelation finden sich auch zahlreiche Zellen mit hellorangem, verhorntem Zytoplasma und teilweise hyperchromatischen und geschrumpften Kernen. Einige der verhornten Plattenepithelien zeigen ein kaulquappenartig länglich ausgezogenes Zytoplasma.
Klinik
Verdacht Kondylom an der Portio.
Bilder Typ
Zytologie
Vergrösserung
200
Alter
60
Geschlecht
unbekannt
Datum
Ersteintrag: 28.01.2003
Update: 10.08.2010