PathoPic – image database / PathoPic ID 6207 - verhornende schwere Dysplasie HSIL

de
Diagnose
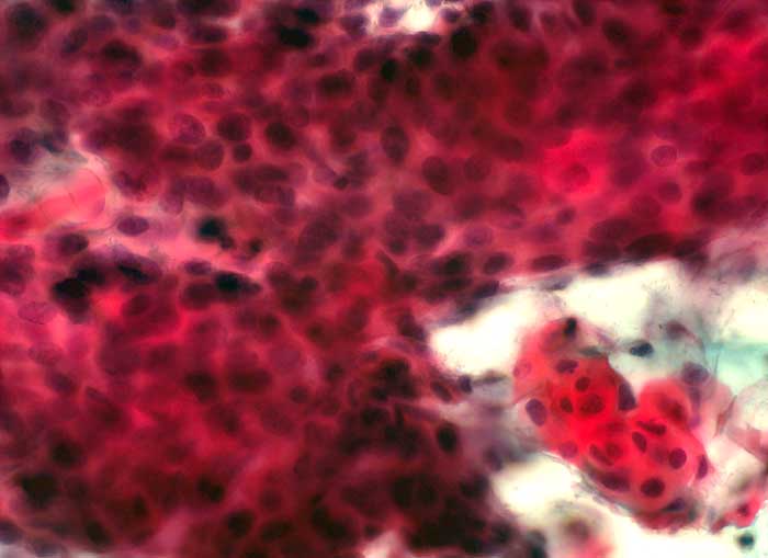
verhornende schwere Dysplasie HSIL
Diagnose Gruppe
Präneoplasie/ Atypie/ Dignität?
Topographie
Portio
Topographie Gruppe
Genitalorgane, weiblich
Beschreibung
Portioabstrich: teils hochgradig-atypische Plattenepithelien mit unterschiedlich grossen, teils polymorphen, hyperchromatischen und grob strukturierten Kernen. Zahlreiche Zellen mit hellorangem, verhorntem Zytoplasma und teilweise hyperchromatischen und geschrumpften Kernen.
Klinik
Verdacht Kondylom an der Portio.
Bilder Typ
Zytologie
Vergrösserung
400
Alter
60
Geschlecht
unbekannt
Datum
Ersteintrag: 28.01.2003
Update: 10.08.2010