PathoPic – image database / PathoPic ID 6205 - basaloides Plattenepithelkarzinom

de
Diagnose
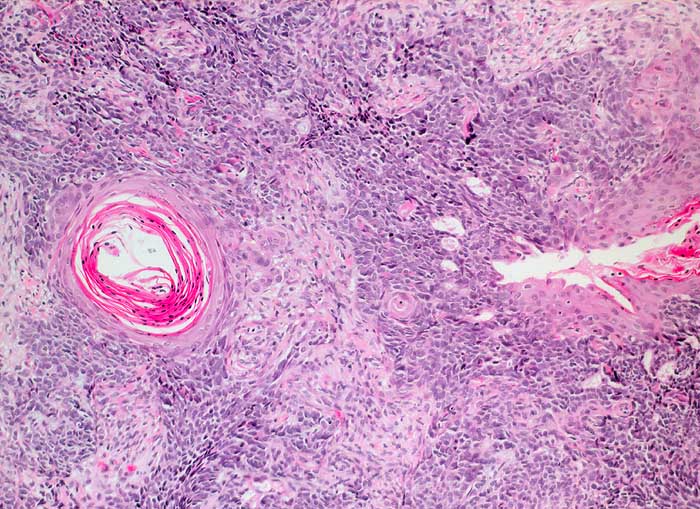
basaloides Plattenepithelkarzinom
Diagnose Gruppe
maligner Tumor
Topographie
Portio
Topographie Gruppe
Genitalorgane, weiblich
Beschreibung
Der Tumor besteht überwiegend aus basaloiden kleinen zytoplasmaarmen Zellen. Der plattenepitheliale Charakter ist aber aufgrund der fokalen Verhornung gut erkennbar.
Klinik
polypöser Tumor der Zervix
Bilder Typ
Histologie
Vergrösserung
100
Alter
73
Geschlecht
unbekannt
Datum
Ersteintrag: 27.01.2003
Update: 10.08.2010