PathoPic – image database / PathoPic ID 6204 - basaloides Plattenepithelkarzinom

de
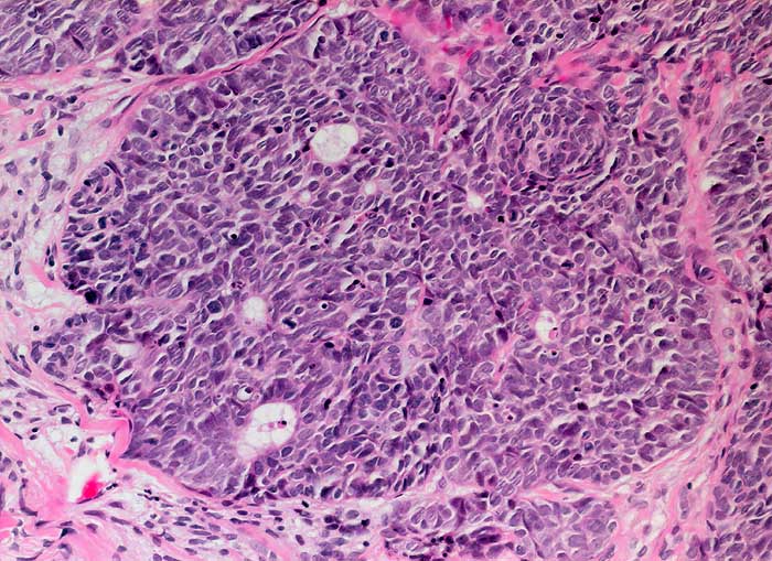
Diagnose
basaloides Plattenepithelkarzinom
Diagnose Gruppe
maligner Tumor
Topographie
Portio
Topographie Gruppe
Genitalorgane, weiblich
Beschreibung
Basaloid differenziertes Plattenepithelkarzinom. Die Tumorzellen erinnern an die Zellen eines grosszellig neuroendokrinen Karzinoms.
Klinik
polypöser Tumor der Zervix
Bilder Typ
Histologie
Vergrösserung
200
Alter
73
Geschlecht
unbekannt
Datum
Ersteintrag: 27.01.2003
Update: 10.08.2010