PathoPic – image database / PathoPic ID 6197 - nicht kleinzelliges Bronchuskarzinom

de
Diagnose
nicht kleinzelliges Bronchuskarzinom
Diagnose Gruppe
maligner Tumor
Topographie
Pleuraerguss Zytologie
Topographie Gruppe
Körperhöhlen, Serosa
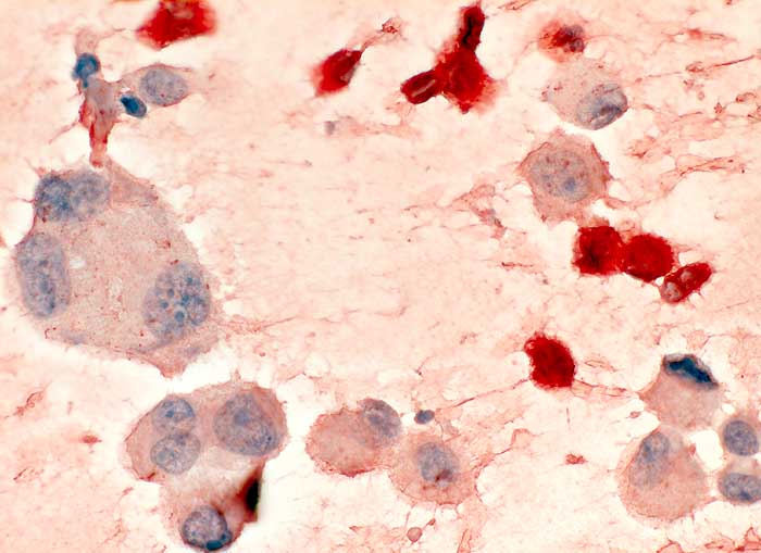
Beschreibung
Pleuraerguss: Die Karzinomzellen sind negativ für den Mesothelmarker Vimentin. Die deutlich kleineren reaktiven Mesothelien hingegen sind positiv.
Klinik
Metastasierendes Bronchuskarzinom
Kommentar
Der Ausstrich ist etwas überfärbt. Die leichte Anfärbung der Tumorzellen ist deshalb als negativ zu werten, vor allem auch im Vergleich zu den stark positiven Mesothelien.
Bilder Typ
Zytologie
Immunhistochemie
Vimentin
Vergrösserung
400
Alter
56
Geschlecht
männlich
Datum
Ersteintrag: 27.01.2003
Update: 29.03.2003