PathoPic – image database / PathoPic ID 6185 - Mittelschwere Dysplasie des Urothels

de
Diagnose
Mittelschwere Dysplasie des Urothels
Diagnose Gruppe
Präneoplasie/ Atypie/ Dignität?
Topographie
Harnblase
Topographie Gruppe
Niere, Harnwege
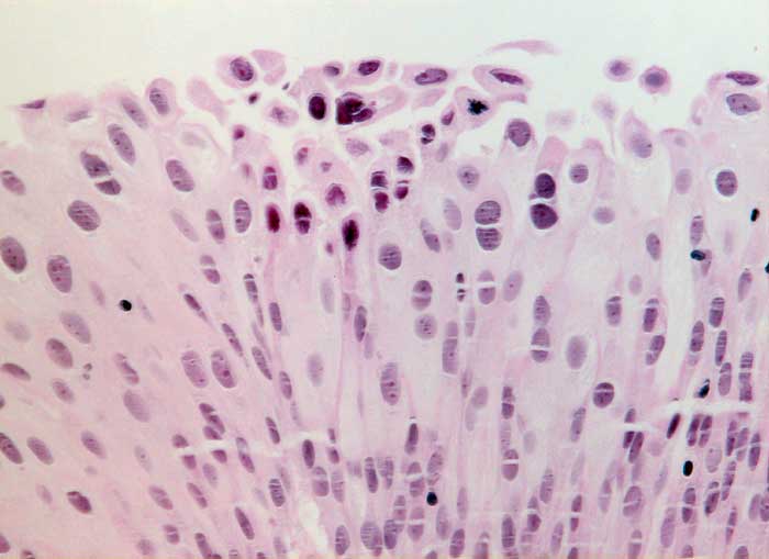
Beschreibung
Urothel leicht verbreitert. Unvollständige Ausreifung mit relativ grossen lumennah gelegenen Zellen. Leichte Hyperchromasie und Polymorphie der Zellen. Mitose im lumennahen Epithel.
Zusatzbefund
Papilläre Hyperplasie des Urothels mit mittelschwerer, p53 positiver Dysplasie
Klinik
Papillärer Tumor Seitenwand links
Kommentar
Der immunhistochemische Befund (p53 Positivität) bestätigt das Vorliegen einer relevanten Dysplasie, bei der - obwohl die Kriterien für die Diagnose eines Carcinoma in situ morphologisch gesehen nicht erfüllt sind - ein relevantes Progressionsrisiko erwartet werde muss. Bei weiteren zytologischen Kontrollen sollte die Durchführung einer FISH-Untersuchung erwogen werden.
Bilder Typ
Histologie
Vergrösserung
320
Alter
64
Geschlecht
männlich
Datum
Ersteintrag: 27.01.2003
Update: 28.03.2003