PathoPic – image database / PathoPic ID 6148 - reaktiv veränderte Mesothelien bei fibrinöser Peritonitis

de
Diagnose
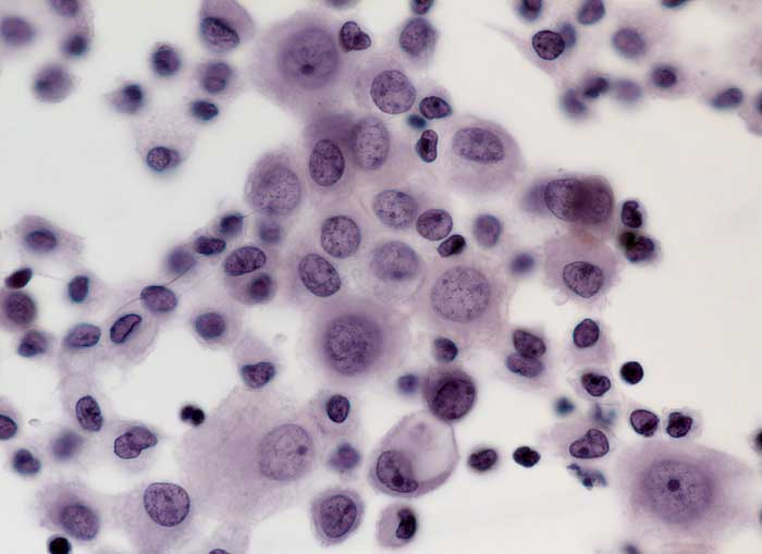
reaktiv veränderte Mesothelien bei fibrinöser Peritonitis
Diagnose Gruppe
Entzündung / Reparatur
Topographie
Aszites
Topographie Gruppe
Körperhöhlen, Serosa
Beschreibung
Aszites: die atypischen Zellverbände (reaktiv veränderte Mesothelzellen) in der Bildmitte sind negativ für den Epithelmarker BerEP4. Auch die Zelle mit dem Siegelringaspekt ist negativ und entspricht einer Mesothelzelle.
Klinik
Aszites bei Peritonealkarzinose
Bilder Typ
Zytologie
Immunhistochemie
Ber-EP4
Vergrösserung
400
Alter
53
Geschlecht
unbekannt
Datum
Ersteintrag: 24.01.2003
Update: 28.03.2003