PathoPic – image database / PathoPic ID 6138 - Schwere Dysplasie des Plattenepithels (VIN III)

de
Diagnose
Schwere Dysplasie des Plattenepithels (VIN III)
Diagnose Gruppe
Präneoplasie/ Atypie/ Dignität?
Topographie
Vulva
Topographie Gruppe
Genitalorgane, weiblich
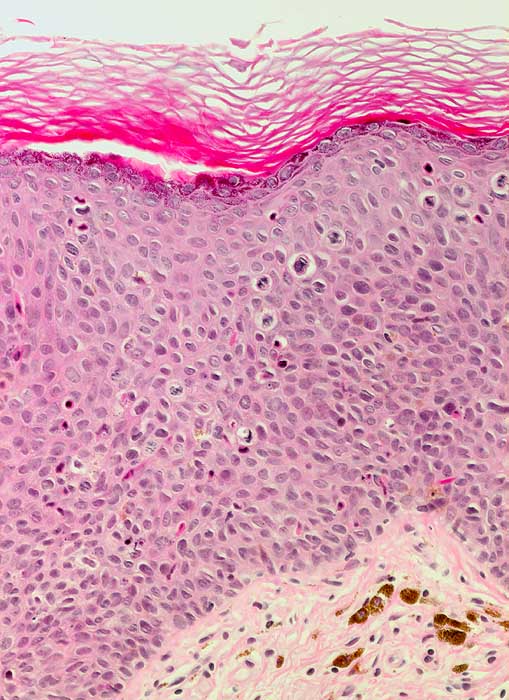
Beschreibung
Klassischer Typ der VIN: Hyperkeratotisch verhornende Epidermis mit unvollständiger Ausreifung, dyskeratotische Einzelzellverhornung und Mitosen bis in das obere Drittel der Haut. Basaloide zytoplasmaarme Epithelzellen mit ausgeprägter Pleomorphie. Melanophagen in der oberflächlichen Dermis.
Klinik
Rezidiv.
Bilder Typ
Histologie
Vergrösserung
320
Alter
39
Geschlecht
unbekannt
Datum
Ersteintrag: 23.01.2003
Update: 10.08.2010