PathoPic – image database / PathoPic ID 6116 - endometriale Stromazellen

de
Diagnose
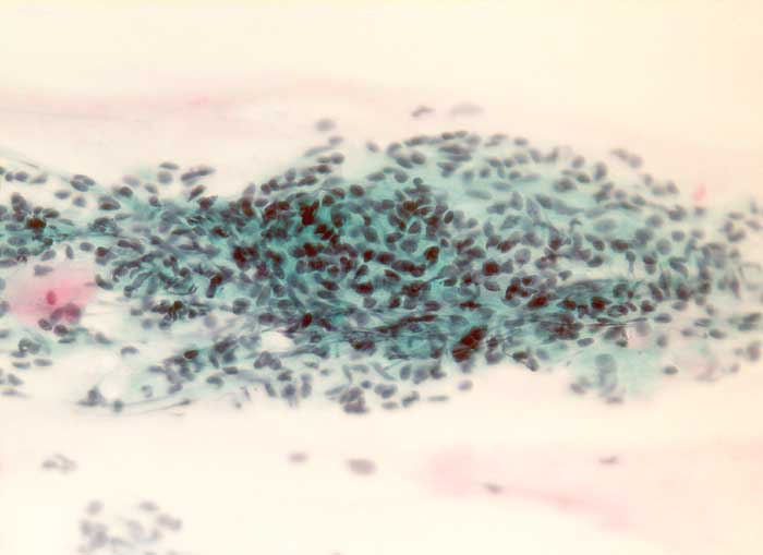
endometriale Stromazellen
Diagnose Gruppe
Normalbefund
Topographie
Zervix
Topographie Gruppe
Genitalorgane, weiblich
Beschreibung
Zervixabstrich: Verband spindeliger Zellen mit dunklem regelmässigem Chromatin und schmalem Zytoplasmasaum.
Kommentar
Zytologische Diagnose: reichlich endometriale Zellen, wahrscheinlich Stromazellen, unverdächtig.
Bilder Typ
Zytologie
Vergrösserung
320
Alter
34
Geschlecht
unbekannt
Datum
Ersteintrag: 21.01.2003
Update: 30.07.2010