Pathopic
HiPaKu
ZyPaKu
PathoBasic
PathoBasic Cytology
Quizzes
Projektinfos
PathoPic - Projekt- und Copyright-Info
About
Pathopic
HiPaKu
ZyPaKu
PathoBasic
PathoBasic Cytology
Quizzes
PathoPic – image database
/
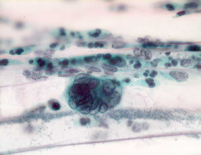
PathoPic ID 6048 - Zervixdrüse
de
Diagnose
Zervixdrüse
Diagnose Gruppe
Normalbefund
Topographie
Zervix
Topographie Gruppe
Genitalorgane, weiblich
Beschreibung
Kleiner Zellverband mit stark überlappenden vesikulären Kernen ohne Atypie.
Klinik
Routinekontrolle
Bilder Typ
Zytologie
Vergrösserung
630
Alter
35
Geschlecht
unbekannt
Datum
Ersteintrag: 15.01.2003
Update: 30.07.2010
CPS
·
©
2024 Institut für Pathologie Basel
/
Dr. med. Katharina Glatz-Krieger
.
·
v2.1