PathoPic – image database / PathoPic ID 6038 - strahleninduzierte Kernatypien

de
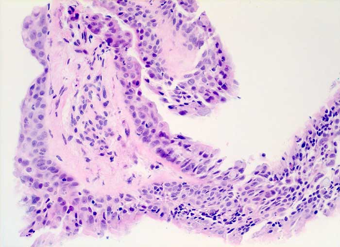
Diagnose
strahleninduzierte Kernatypien
Diagnose Gruppe
Therapiefolgen
Topographie
Bronchus
Topographie Gruppe
Lunge, Mediastinum mit Thymus
Beschreibung
Ausgeprägte Kernpolymorphie und Kernvergrösserung des respiratorischen Epithels bei erhaltener Kern-Zytoplasmarelation.
Klinik
NSCLC neoadjuvante Therapie
Bilder Typ
Histologie
Vergrösserung
200
Alter
60
Geschlecht
männlich
Datum
Ersteintrag: 15.01.2003
Update: 17.02.2003