PathoPic – image database / PathoPic ID 6036 - Mikrofollikuläres Schilddrüsenadenom (toxisches Adenom)

de
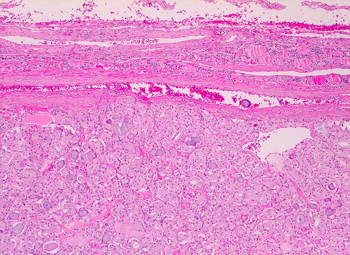
Diagnose
Mikrofollikuläres Schilddrüsenadenom (toxisches Adenom)
Diagnose Gruppe
benigner Tumor
Topographie
Schilddrüse
Topographie Gruppe
Endokrinium
Beschreibung
Scharf begrenzter Knoten mit schmaler Kapsel. Ausserhalb des Knotens atrophes Schilddrüsenparenchym. Das Adenom besteht aus kleinen Follikeln mit hochprismatischem aktiviertem Epithel. Die Follikel enthalten wenig oder gar kein Kolloid.
Zusatzbefund
Makroskopisch solitärer bunter Knoten von 6cm Durchmesser.
Klinik
Toxischer Knoten Schilddrüse rechts.
Kommentar
Zytologisch wurde aufgrund der zahlreichen vorhandenen Epithelien und einzelner Mikrofollikel eine follikuläre Neoplasie diagnostiziert.
Bilder Typ
Histologie
Vergrösserung
50
Alter
46
Geschlecht
männlich
Datum
Ersteintrag: 15.01.2003
Update: 17.02.2003