PathoPic – image database / PathoPic ID 6028 - Makrofollikel

de
Diagnose
Makrofollikel
Diagnose Gruppe
benigner Tumor
Topographie
Schilddrüse
Topographie Gruppe
Endokrinium
Beschreibung
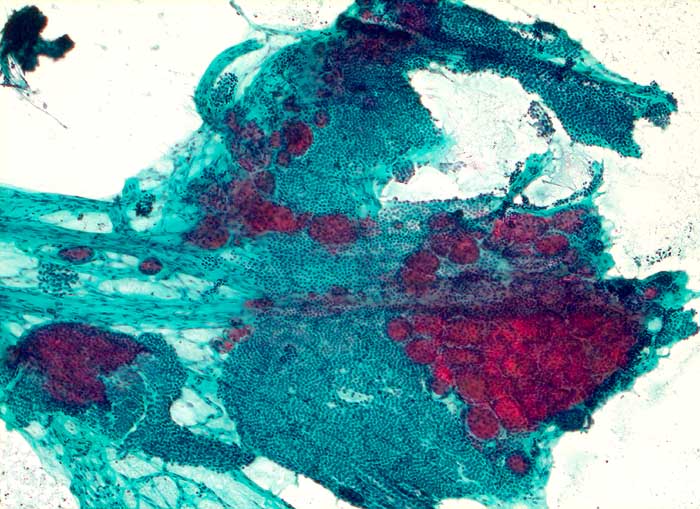
Feinnadelpunktat Schilddrüse: Flächenhafter Verband monomorpher Schilddrüsenepithelien ohne Atypien mit Einschluss von Makrofollikeln mit reichlich Kolloid.
Zusatzbefund
An anderer Stelle zystisch-hämorrhagischer Hintergrund.
Klinik
Schilddrüsenknoten mit zystischer Einschmelzung . Punktion zystischer Bezirke: suspekte Zellen? (ca. 10ml).
Kommentar
Zytologische Diagnose: Keine Malignitätszeichen. Befund spricht für hämorrhagische Strumazyste
Bilder Typ
Zytologie
Vergrösserung
50
Alter
50
Geschlecht
männlich
Datum
Ersteintrag: 14.01.2003
Update: 17.02.2003