PathoPic – image database / PathoPic ID 5956 - Arthritis urica

de
Diagnose
Arthritis urica
Diagnose Gruppe
Entzündung / Reparatur
Topographie
Gelenk, untere Extremität
Topographie Gruppe
Knochen, Knorpel, Gelenke
Beschreibung
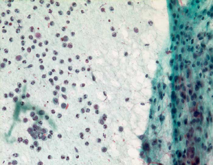
Kniegelenkspunktat: Fibrin, neutrophile Granulozyten und Synovialzellen.
Zusatzbefund
Im Nativpräparat sind doppelbrechende Uratkristalle nachweisbar.
Klinik
Hämarthros
Kommentar
Zytologische Diagnose: Arthritis urica.
Die Kristalle lösen eine granulozytäre Entzündung aus, aber selten ein regelrechtes Empyem wie bei bakterieller Arthritis.
Bilder Typ
Zytologie
Vergrösserung
630
Alter
77
Geschlecht
männlich
Datum
Ersteintrag: 06.01.2003
Update: 25.12.2007