PathoPic – image database / PathoPic ID 5954 - Talkpleurodese und eosinophile Pleuritis

de
Diagnose
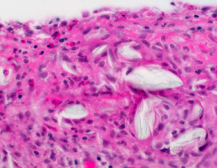
Talkpleurodese und eosinophile Pleuritis
Diagnose Gruppe
Entzündung / Reparatur
Topographie
Pleuraerguss Zytologie
Topographie Gruppe
Körperhöhlen, Serosa
Beschreibung
Reichlich doppelbrechendes Material im subpleuralen Bindegewebe. Eosinophilenreiche Entzündung.
Klinik
Persistierender Pneumothorax -> Erguss. St.n. Talkpleurodese.
Kommentar
Eine eosinophile Pleuritis tritt unter anderem bei Lufteintritt in den Pleuraraum auf. Befund passt deshalb zu klinisch angegebenem Pneumothorax.
Bilder Typ
Histologie
Vergrösserung
400
Alter
44
Geschlecht
unbekannt
Datum
Ersteintrag: 06.01.2003
Update: 19.09.2007