PathoPic – image database / PathoPic ID 5951 - xanthochromer Erguss nach pleuraler Blutung

de
Diagnose
xanthochromer Erguss nach pleuraler Blutung
Diagnose Gruppe
vaskulär / Durchblutungsstörung
Topographie
Pleuraerguss Zytologie
Topographie Gruppe
Körperhöhlen, Serosa
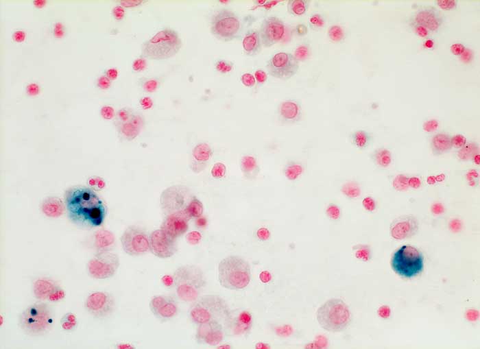
Beschreibung
Pleuraerguss: einzelne pigmentspeichernde Makrophagen.
Klinik
900ml blutiger Pleuraerguss unter Behandlung eines follikulären Lymphoms
Kommentar
Zytologische Diagnose: Lipidreicher Erguss mit hämosiderinspeichernden Makrophagen. Keine Malignitätszeichen. Zytologisches Bild eines xanthochromen Ergusses, wie er nach pleuralen Blutungen auftritt.
Bilder Typ
Zytologie
Vergrösserung
400
Alter
78
Geschlecht
unbekannt
Datum
Ersteintrag: 06.01.2003
Update: 17.02.2003