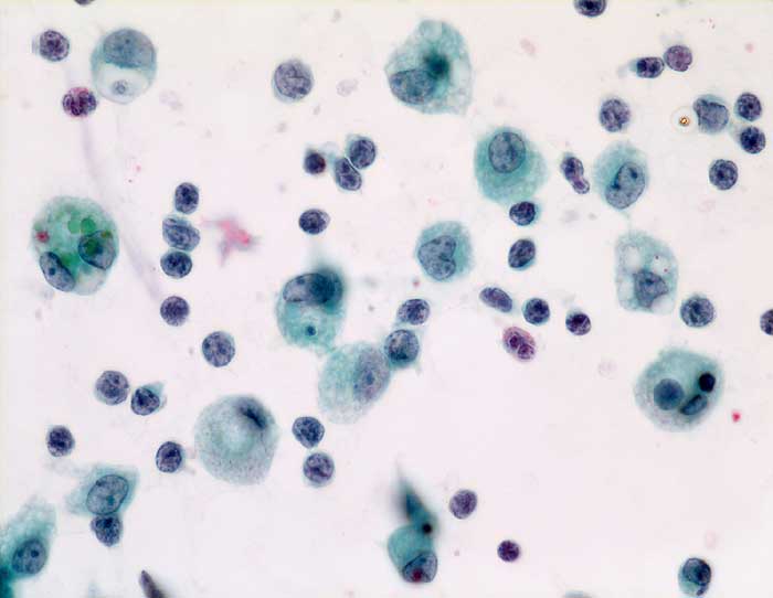
Pleuraerguss: kleine Lymphozyten mit manchmal leicht abnormen Kernen (wahrscheinlich therapie- oder entzündungsbedingt), viele vakuolisierte lipdidspeichernde und ganz vereinzelt pigmentspeichernde Makrophagen.
Klinik
900ml blutiger Pleuraerguss unter Behandlung eines follikulären Lymphoms
Kommentar
Zytologische Diagnose: Lipidreicher Erguss mit hämosiderinspeichernden Makrophagen. Keine Malignitätszeichen. Zytologisches Bild eines xanthochromen Ergusses, wie er nach pleuralen Blutungen auftritt.