Pathopic
HiPaKu
ZyPaKu
PathoBasic
PathoBasic Cytology
Quizzes
Projektinfos
PathoPic - Projekt- und Copyright-Info
About
Pathopic
HiPaKu
ZyPaKu
PathoBasic
PathoBasic Cytology
Quizzes
PathoPic – image database
/
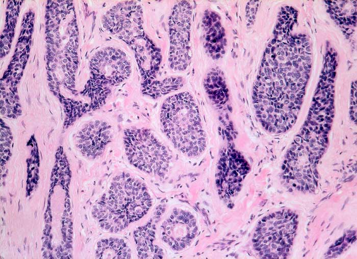
PathoPic ID 5916 - Adenoidzystisches Karzinom
de
Diagnose
Adenoidzystisches Karzinom
Diagnose Gruppe
maligner Tumor
Topographie
Parotis
Topographie Gruppe
Kopf & Hals, Sinnesorgane
Beschreibung
Solide, scharf begrenzte Zellstränge mit dichtgepackten zytoplasmaarmen monomorphen Zellen mit runden oder angulären Kernen. Dichtes Stroma umfliesst die Zellgruppen.
Stromainseln liegen auch innerhalb der Zellverbände.
Bilder Typ
Histologie
Vergrösserung
100
Alter
80
Geschlecht
unbekannt
Datum
Ersteintrag: 04.01.2003
Update: 21.12.2007
CPS
·
©
2024 Institut für Pathologie Basel
/
Dr. med. Katharina Glatz-Krieger
.
·
v2.1