PathoPic – image database / PathoPic ID 5912 - eosinophiler Erguss

de
Diagnose
eosinophiler Erguss
Diagnose Gruppe
Entzündung / Reparatur
Topographie
Pleuraerguss Zytologie
Topographie Gruppe
Körperhöhlen, Serosa
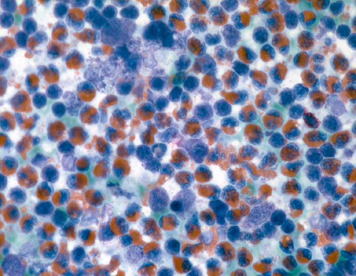
Beschreibung
Pleurapunktat: Massive Vermehrung eosinophiler Granulozyten mit feingranuliertem rotem Zytoplasma und segmentierten rund-ovalen Kernen.
Klinik
Pleuraerguss ungeklärter Ätiologie.
Kommentar
Ueber die Ursache des eosinophilen Ergusses lässt sich nichts sicheres aussagen. Häufig gehen Traumata und Pneumothorax voraus, aber auch allergische Reaktionen auf Medikamente oder Parasiten sind in Betracht zu ziehen.
Bilder Typ
Zytologie
Vergrösserung
200
Alter
63
Geschlecht
männlich
Datum
Ersteintrag: 03.01.2003
Update: 17.02.2003