PathoPic – image database / PathoPic ID 5900 - amelanotisches Malignes Melanom

de
Diagnose
amelanotisches Malignes Melanom
Diagnose Gruppe
maligner Tumor
Topographie
Pleura parietalis
Topographie Gruppe
Körperhöhlen, Serosa
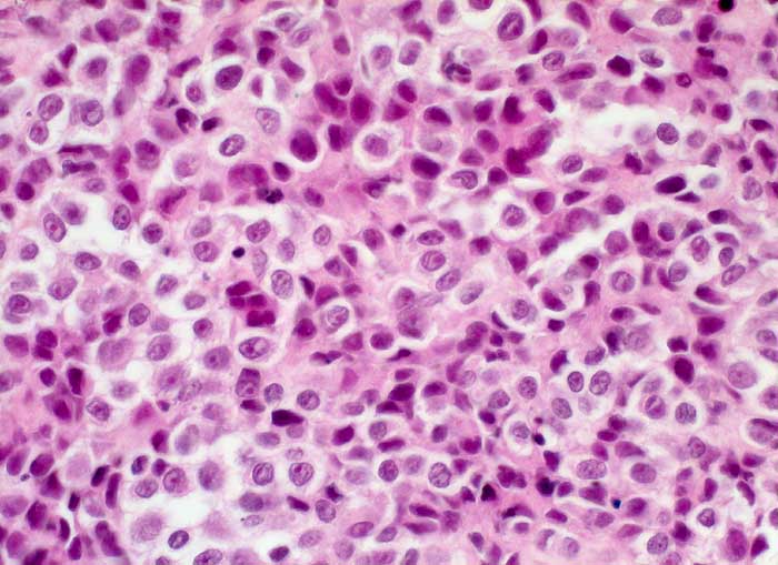
Beschreibung
Epitheloidzelliger solider nicht pigmentierter Tumor.
Klinik
Bekanntes malignes Melanom
Kommentar
Zytologische Diagnose: malignes Melanom.
Bilder Typ
Histologie
Vergrösserung
400
Alter
69
Geschlecht
unbekannt
Datum
Ersteintrag: 03.01.2003
Update: 17.02.2003