Pathopic
HiPaKu
ZyPaKu
PathoBasic
PathoBasic Cytology
Quizzes
Projektinfos
PathoPic - Projekt- und Copyright-Info
About
Pathopic
HiPaKu
ZyPaKu
PathoBasic
PathoBasic Cytology
Quizzes
PathoPic – image database
/
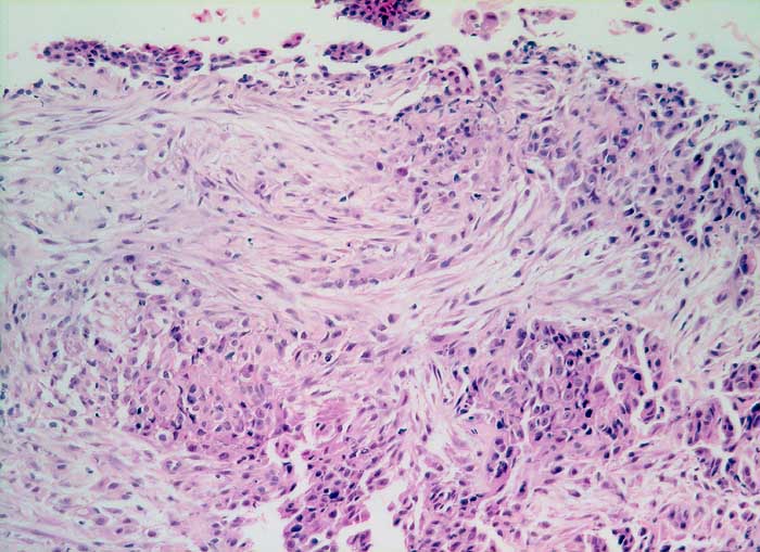
PathoPic ID 5894 - malignes Pleuramesotheliom Mischtyp
de
Diagnose
malignes Pleuramesotheliom Mischtyp
Diagnose Gruppe
maligner Tumor
Topographie
Pleura
Topographie Gruppe
Körperhöhlen, Serosa
Beschreibung
Der Tumor besteht aus einer sarkomatoiden spindelzelligen Komponente und einer überwiegend soliden epithelialen Komponente aus kubischen Zellen mit hyperchromatischen Kernen.
Bilder Typ
Histologie
Vergrösserung
160
Alter
61
Geschlecht
männlich
Datum
Ersteintrag: 03.01.2003
Update: 17.02.2003
CPS
·
©
2024 Institut für Pathologie Basel
/
Dr. med. Katharina Glatz-Krieger
.
·
v2.1