PathoPic – image database / PathoPic ID 5886 - Adenokarzinom des Pankreas

de
Diagnose
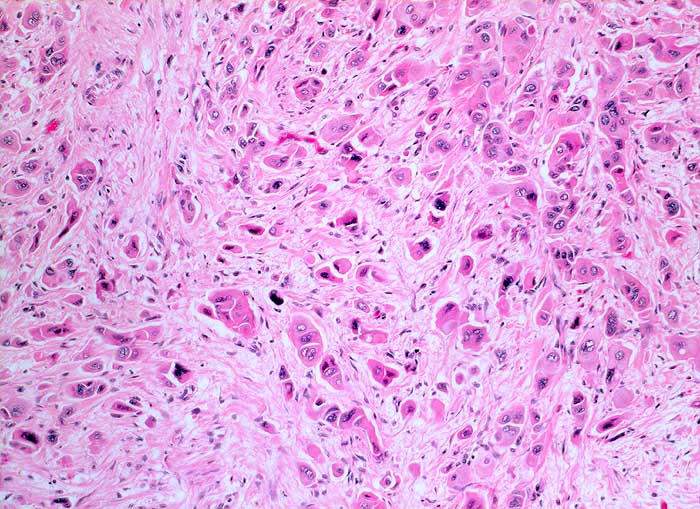
Adenokarzinom des Pankreas
Diagnose Gruppe
maligner Tumor
Topographie
Pankreas
Topographie Gruppe
Leber, Gallenwege, Pankreas
Beschreibung
Das Karzinom bildet nur noch angedeutet drüsige Strukturen mit ausgeprägten Epithelatypien. Ausgeprägte Desmoplasie.
Klinik
Pankreaskopftumor
Bilder Typ
Histologie
Vergrösserung
100
Alter
66
Geschlecht
männlich
Datum
Ersteintrag: 03.01.2003
Update: 17.02.2003