PathoPic – image database / PathoPic ID 5860 - chromophobes Hypophysenadenom

de
Diagnose
chromophobes Hypophysenadenom
Diagnose Gruppe
benigner Tumor
Topographie
Hypophyse, Vorderlappen
Topographie Gruppe
Endokrinium
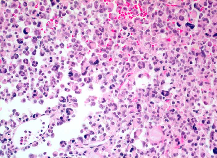
Beschreibung
Diffus wachsendes Hypophysenadenom mit zahlreichen mehrkernigen Zellen
Zusatzbefund
Über 50% der Adenomzellen zeigen eine Expression für das Wachstumshormon. Lediglich Einzelzellen positiv für den Marker gegen Prolactin. Die übrigen angewandten Marker vollständig negativ. Der MIB-1-Proliferationsindex liegt deutlich unter 1%
Klinik
Hypophysenadenom, Vd. a. atypische Akromegalie.
Bilder Typ
Histologie
Vergrösserung
200
Alter
53
Geschlecht
männlich
Datum
Ersteintrag: 30.12.2002
Update: 17.02.2003