PathoPic – image database / PathoPic ID 5848 - onkozytäres Schilddrüsenkarzinom

de
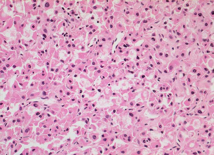
Diagnose
onkozytäres Schilddrüsenkarzinom
Diagnose Gruppe
maligner Tumor
Topographie
Schilddrüse
Topographie Gruppe
Endokrinium
Beschreibung
Mikrofollikulärer Tumor aus leicht polymorphen onkozytären Zellen.
Klinik
Verdacht auf Schilddrüsenkarzinom
Bilder Typ
Histologie
Vergrösserung
200
Alter
69
Geschlecht
unbekannt
Datum
Ersteintrag: 25.12.2002
Update: 17.02.2003