Pathopic
HiPaKu
ZyPaKu
PathoBasic
PathoBasic Cytology
Quizzes
Projektinfos
PathoPic - Projekt- und Copyright-Info
About
Pathopic
HiPaKu
ZyPaKu
PathoBasic
PathoBasic Cytology
Quizzes
PathoPic – image database
/
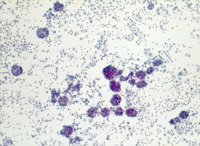
PathoPic ID 5810 - Adenokarzinom
de
Diagnose
Adenokarzinom
Diagnose Gruppe
maligner Tumor
Topographie
Pleuraerguss Zytologie
Topographie Gruppe
Körperhöhlen, Serosa
Beschreibung
Pleuraerguss: neben Mesothelien und Lymphozyten sieht man mehrere
dreidimensionale rundliche Tumorzellverbände.
Klinik
Mittellappenresektion vor einem Jahr wegen Adenokarzinom der Lunge
Kommentar
Für ein Lungenkarzinom ist der Tumor auffallend monomorph. Es wurde aber kein anderer Primärtumor gefunden.
Bilder Typ
Zytologie
Vergrösserung
100
Alter
60
Geschlecht
unbekannt
Datum
Ersteintrag: 13.12.2002
Update: 17.02.2003
CPS
·
©
2024 Institut für Pathologie Basel
/
Dr. med. Katharina Glatz-Krieger
.
·
v2.1