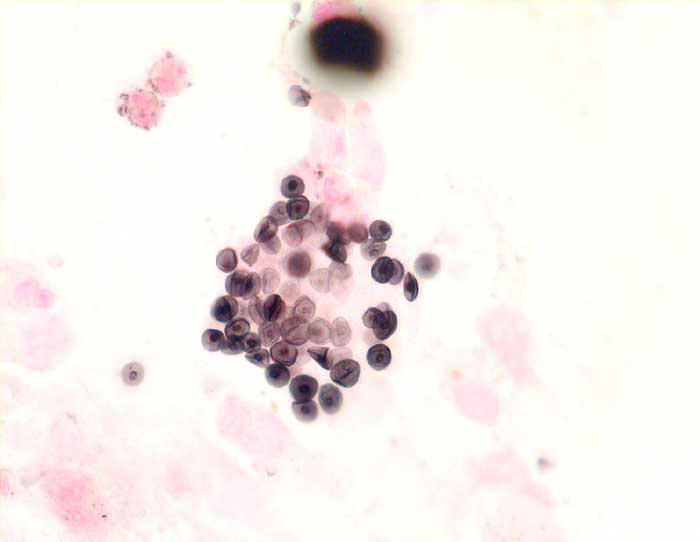
Bronchoalveoläre Lavage: Im Gegensatz zu Erythrozyten, die sich ebenfalls in einer Silberfärbung schwarz anfärben können, aber stets ein aufgehelltes Zentrum zeigen, ist die Einschluss-ähnliche Verdichtung im Zentrum der erythrozytengrossen Zystchen typisch für Pneumozysten.
Klinik
doppelseitige interstitielle Pneumonie
Kommentar
Im Sputum werden Pneumozysten sehr selten nachgewiesen. Die beste Nachweismethode ist die bronchoalveoläre Lavage.