PathoPic – image database / PathoPic ID 5726 - Kleinzelliges Karzinom

de
Diagnose
Kleinzelliges Karzinom
Diagnose Gruppe
maligner Tumor
Topographie
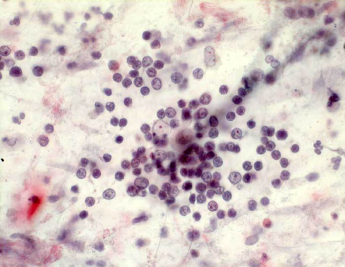
Bronchialsekret
Topographie Gruppe
Lunge, Mediastinum mit Thymus
Beschreibung
Bronchialsekret: Kleine hyperchromatische nacktkernige Tumorzellen in lockeren Gruppen auf detritischem Hintergrund.
Klinik
Tumor im Lungenmittellappen
Kommentar
Im Bronchialsekret sind die Zellen des kleinzelligen Karzinoms oft sehr viel schwerer zu erkennen als im Sputum, die diagnostische Ausbeute im Bronchialsekret bei diesem Tumor geringer. Die Tumorzellen sind leicht mit Lymphozyten oder Flimmerzellen zu verwechseln, besonders wenn wie im vorliegenden Fall die Hyperchromasie aus färberischen Gründen nicht so deutlich hervortritt.
Bilder Typ
Zytologie
Vergrösserung
400
Alter
69
Geschlecht
männlich
Datum
Ersteintrag: 29.11.2002
Update: 02.04.2003