Pathopic
HiPaKu
ZyPaKu
PathoBasic
PathoBasic Cytology
Quizzes
Projektinfos
PathoPic - Projekt- und Copyright-Info
About
Pathopic
HiPaKu
ZyPaKu
PathoBasic
PathoBasic Cytology
Quizzes
PathoPic – image database
/
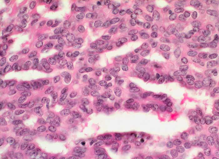
PathoPic ID 5706 - Fibrozystische Mastopathie
de
Diagnose
Fibrozystische Mastopathie
Diagnose Gruppe
benigner Tumor
Topographie
Mamma
Topographie Gruppe
Mamma
Beschreibung
Benigne intraduktale Epithelproliferation mit schlitzförmigen Hohlräumen (Fenestrierung). Die Zellen sind polymorph, zeigen aber keine Kernatypien.
Klinik
V.a. Mammakarzinom
Bilder Typ
Histologie
Vergrösserung
400
Alter
32
Geschlecht
unbekannt
Datum
Ersteintrag: 26.11.2002
Update: 17.02.2003
CPS
·
©
2024 Institut für Pathologie Basel
/
Dr. med. Katharina Glatz-Krieger
.
·
v2.1