PathoPic – image database / PathoPic ID 5703 - Fibrozystische Mastopathie

de
Diagnose
Fibrozystische Mastopathie
Diagnose Gruppe
benigner Tumor
Topographie
Mamma
Topographie Gruppe
Mamma
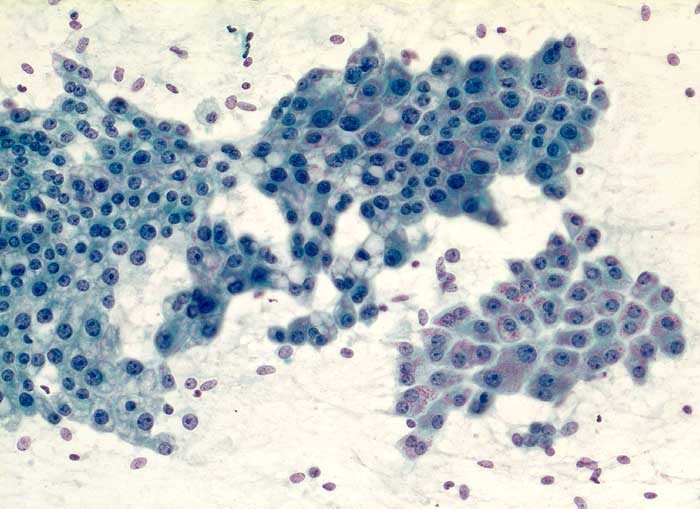
Beschreibung
Feinnadelpunktion Mamma: Grosser Verband apokriner (onkozytärer) Zellen mit grossen runden Kernen und prominenten Nukleolen. Reichlich fein granuliertes, teils eosinophiles Zytoplasma. Zahlreiche bipolare nackte Kerne ( Korbzellen=Myoepithelzellen). Schaumzelle.
Klinik
V.a. Mammakarzinom
Kommentar
Zytologische Diagnose: fibrozystische Mastopathie mit ausgeprägter duktaler Epithelhyperplasie und apokriner Metaplasie
Bilder Typ
Zytologie
Vergrösserung
200
Alter
32
Geschlecht
unbekannt
Datum
Ersteintrag: 26.11.2002
Update: 17.02.2003