Pathopic
HiPaKu
ZyPaKu
PathoBasic
PathoBasic Cytology
Quizzes
Projektinfos
PathoPic - Projekt- und Copyright-Info
About
Pathopic
HiPaKu
ZyPaKu
PathoBasic
PathoBasic Cytology
Quizzes
PathoPic – image database
/
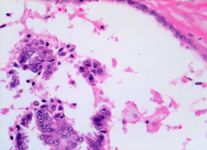
PathoPic ID 5696 - Milchgangspapillom
de
Diagnose
Milchgangspapillom
Diagnose Gruppe
benigner Tumor
Topographie
Mamma
Topographie Gruppe
Mamma
Beschreibung
Der Zystische Hohlraum enthält neben epithelialen Zellverbänden auch einige
Schaumzellen.
Klinik
Tastbefund rechts bei 12h, perimamillär mit benignen Schallkriterien. DD: Fibroadenom, Lipom, Fettgewebsnekrose.
Kommentar
Zytologische Diagnose: Verdacht auf Milchgangspapillom
Bilder Typ
Histologie
Vergrösserung
320
Alter
37
Geschlecht
unbekannt
Datum
Ersteintrag: 25.11.2002
Update: 17.02.2003
CPS
·
©
2024 Institut für Pathologie Basel
/
Dr. med. Katharina Glatz-Krieger
.
·
v2.1