PathoPic – image database / PathoPic ID 5694 - Milchgangspapillom

de
Diagnose
Milchgangspapillom
Diagnose Gruppe
benigner Tumor
Topographie
Mamma
Topographie Gruppe
Mamma
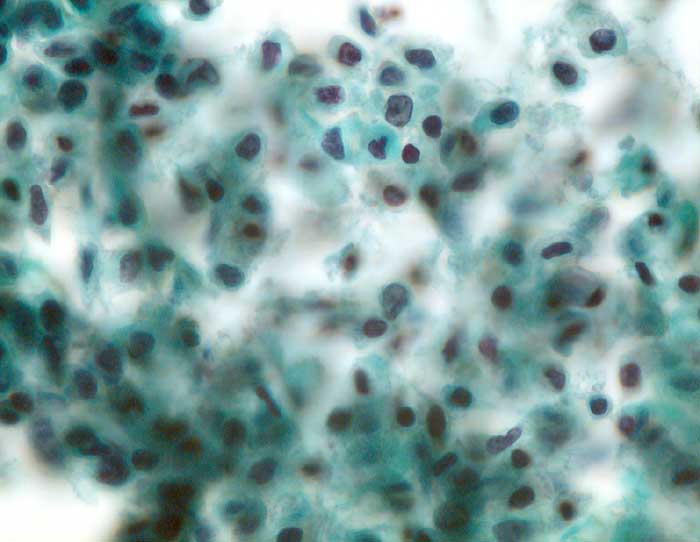
Beschreibung
Feinnadelpunktion Mamma: Diffuser Rasen zylindrischer oder polygonaler Zellen mit leicht vergrösserten, teilweise auch etwas unregelmässig konfigurierten und hyperchromatischen Kernen. Daneben auch bipolare Myoepithelien.
Klinik
Tastbefund rechts bei 12h, perimamillär mit benignen Schallkriterien. DD: Fibroadenom, Lipom, Fettgewebsnekrose.
Kommentar
Zytologische Diagnose: Verdacht auf Milchgangspapillom
Bilder Typ
Zytologie
Vergrösserung
400
Alter
37
Geschlecht
unbekannt
Datum
Ersteintrag: 25.11.2002
Update: 17.02.2003