Pathopic
HiPaKu
ZyPaKu
PathoBasic
PathoBasic Cytology
Quizzes
Projektinfos
PathoPic - Projekt- und Copyright-Info
About
Pathopic
HiPaKu
ZyPaKu
PathoBasic
PathoBasic Cytology
Quizzes
PathoPic – image database
/
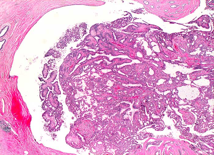
PathoPic ID 5689 - Milchgangspapillom
de
Diagnose
Milchgangspapillom
Diagnose Gruppe
benigner Tumor
Topographie
Mamma
Topographie Gruppe
Mamma
Beschreibung
Tubulopapillärer Tumor in einem ausgeweiteten Milchang.
Klinik
Tastbefund rechts bei 12h, perimamillär mit benignen Schallkriterien. DD: Fibroadenom, Lipom, Fettgewebsnekrose.
Bilder Typ
Histologie
Vergrösserung
25
Alter
37
Geschlecht
unbekannt
Datum
Ersteintrag: 25.11.2002
Update: 17.02.2003
CPS
·
©
2024 Institut für Pathologie Basel
/
Dr. med. Katharina Glatz-Krieger
.
·
v2.1